
Contamos con tecnología avanzada y un equipo de profesionales altamente capacitados, dedicados a ofrecer soluciones personalizadas que se adaptan a las necesidades específicas de cada paciente. Desde la primera consulta, trabajamos para garantizar que cada tratamiento, ya sea para mejorar la estética o restaurar la funcionalidad, cumpla con los más altos estándares de calidad y seguridad.
Transforme su Sonrisa con Carillas y Coronas
Ya sea que esté buscando corregir imperfecciones en su sonrisa o necesite un tratamiento restaurador, en la Clínica Dental Otedent estamos aquí para ayudarle a alcanzar su sonrisa ideal. Explore nuestras opciones y descubra cómo podemos mejorar su calidad de vida a través de una atención dental excepcional.
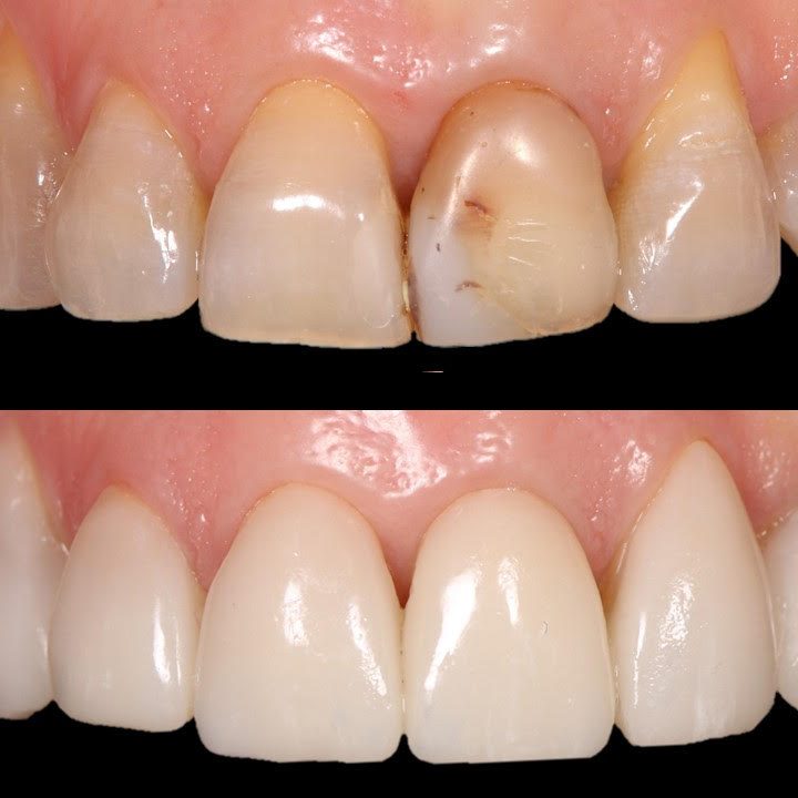
En la Clínica Dental Otedent, ofrecemos un enfoque especializado en carillas y coronas, tratamientos que son fundamentales para mejorar tanto la estética como la funcionalidad de su sonrisa. Nuestras carillas realzan la belleza de sus dientes, proporcionando una apariencia natural y uniforme, mientras que las coronas permiten restaurar dientes dañados, devolviendo su forma y fuerza.
Descubre el Mundo de las Carillas Dentales
En Clínica Otedent, entendemos que la estética dental es fundamental para tu confianza y bienestar. Por eso, en esta sección te presentamos todo lo que necesitas saber sobre las carillas dentales, un tratamiento que puede transformar tu sonrisa de manera rápida y eficaz.

Beneficios Estéticos de las Carillas Dentales
Durabilidad de las Carillas Dentales
Las carillas dentales son una excelente opción para mejorar la apariencia de los dientes. Proporcionan un acabado hermoso, corrigen imperfecciones como manchas, desgastes o espacios entre los dientes, y ofrecen una solución duradera para una sonrisa de ensueño.
Una de las grandes ventajas de las carillas dentales es su durabilidad. Dependiendo de los materiales utilizados y del cuidado dental que realices, pueden durar entre 10 y 15 años. Es importante mantener una buena higiene bucal y seguir las recomendaciones de nuestro equipo para prolongar la vida de tus carillas.
Proceso de Colocación de Carillas
Materiales Utilizados en Carillas Dentales
La colocación de carillas dentales es un proceso sencillo y eficiente. Primero, realizamos una evaluación completa de tu boca y tomamos impresiones de tus dientes. Posteriormente, preparamos la superficie dental y colocamos las carillas con un adhesivo especial. Este procedimiento es indoloro y normalmente se puede completar en una sola visita a nuestra clínica.
En nuestra clínica, utilizamos materiales de alta calidad para la fabricación de carillas dentales. Las más comunes son las de porcelana y las de composite. Las carillas de porcelana son más resistentes a las manchas y ofrecen un acabado más natural, mientras que las de composite son menos costosas y pueden ser reparadas más fácilmente.
¡Estamos aquí para ayudarte!
En Clínica Otedent, en Sitio de Calahonda y Las Lagunas, Mijas Costa, ponemos a tu disposición un formulario de contacto para solicitar información sobre carillas y coronas dentales. Contáctanos para programar tu consulta o resolver tus dudas. Estamos aquí para brindarte la mejor atención dental.
