Odontología general
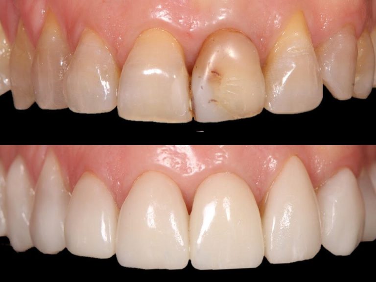
La odontología general es una especialidad fundamental en el ámbito de la clínica dental, ya que se encarga de la prevención, diagnóstico y tratamiento de diversas condiciones bucodentales. Este enfoque integral permite a los profesionales ofrecer cuidados que van desde limpiezas y empastes hasta tratamientos más complejos como extracciones y rehabilitaciones. En nuestra clínica dental, la odontología general fomenta un ambiente de confianza, donde los pacientes reciben atención personalizada y recomendaciones para mantener una salud oral óptima.


Teléfono: +34 952 66 76 44
WhatsApp: +34 685 64 36 95
+34 652 87 05 60
E-mail: citasotedent@gmail.com
Dirección: Camino Viejo de Coín, 60, edif. nuria 2 Local 3, 29650 Fuengirola, Málaga.
Dirección: Avenida de España 2 Edif. Las postas 1A Sitio de Calahonda, 29649 Mijas, Málaga.
